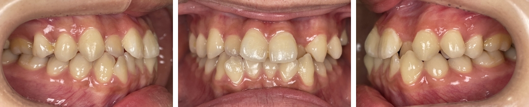
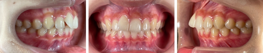
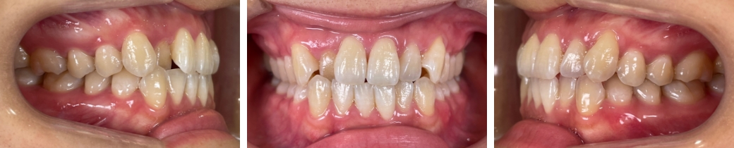
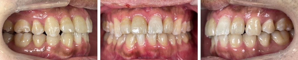
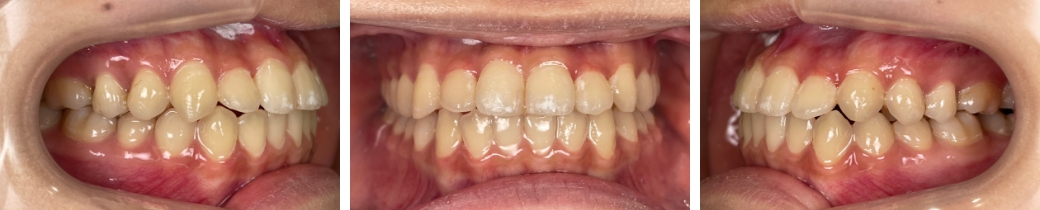
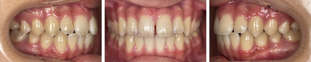
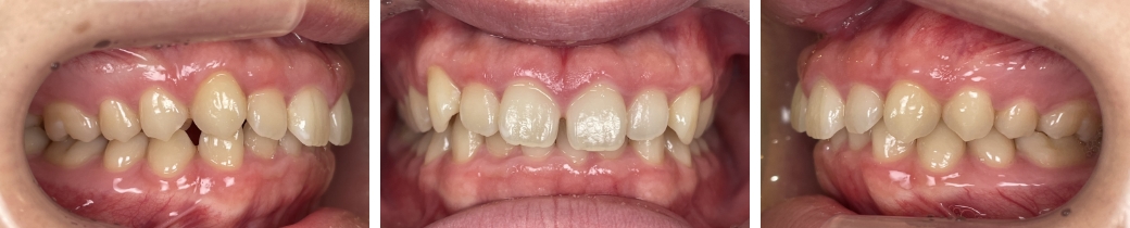
20代女性/前歯部のガタガタをマウスピース矯正で改善(全体矯正)
| 年代 | 20代 |
|---|---|
| 性別 | 女性 |
| 主訴 | 前歯部のガタガタ |
| 治療期間 | 11か月 |
| 使用装置 | マウスピース矯正(インビザライン) |
| 診断名 | 叢生 |
| 治療方針 | 非抜歯 e-line を維持しながら前歯排列 上下顎の全体矯正 |
■ この症例のポイント
- 非抜歯で叢生を解消しつつ、前歯の前突を起こさないよう e-line を維持
- マウスピース矯正により、治療中も目立たず快適に過ごせた
- アライナー順守が良く、11か月で計画通りに治療が進行
- 拡大量・IPR量を最小限に調整し、横顔のバランスを崩さずに改善
- 全体矯正によって、ガタガタの改善と噛み合わせのバランスも同時に整った
■ Before → After
主訴である前歯のガタガタが整い、スマイル時の口元がより自然で美しくなりました。
横顔の印象も変わらず、e-line を維持したまま整った歯列に仕上がっています。
Before
After
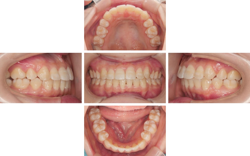
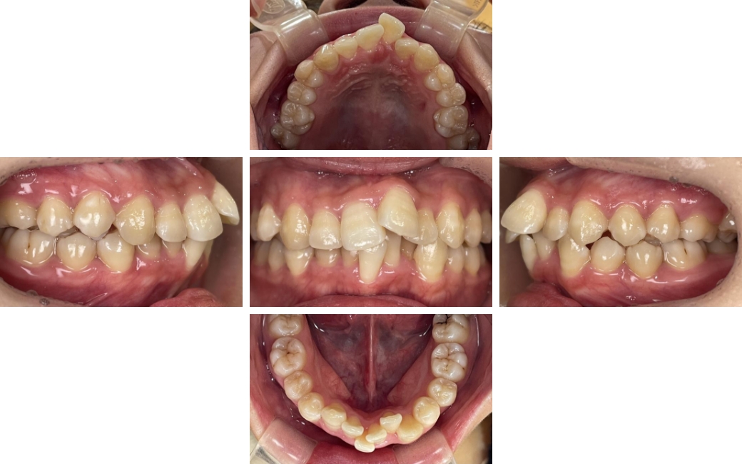
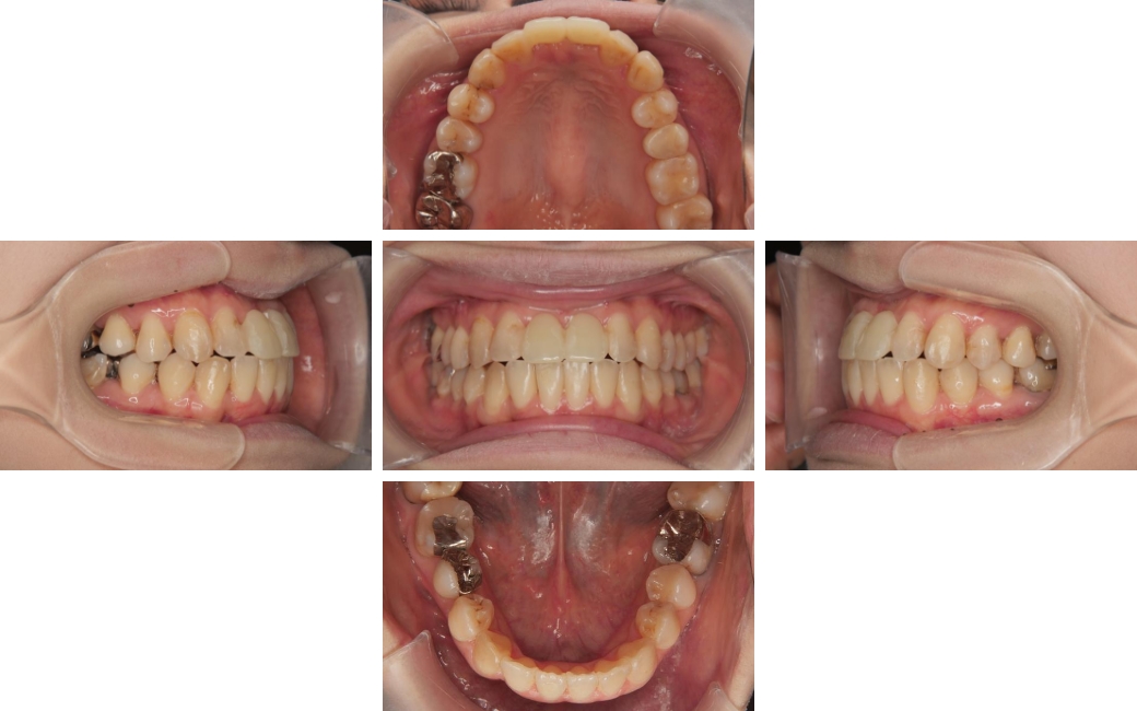
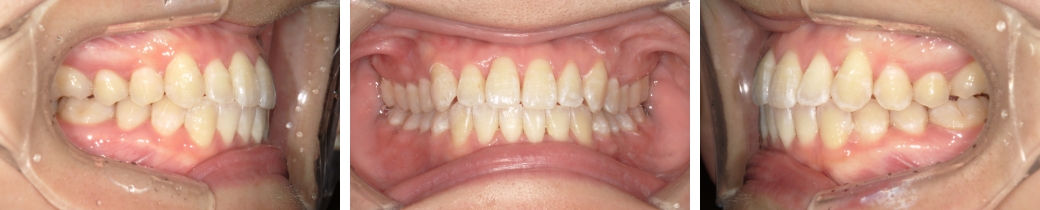
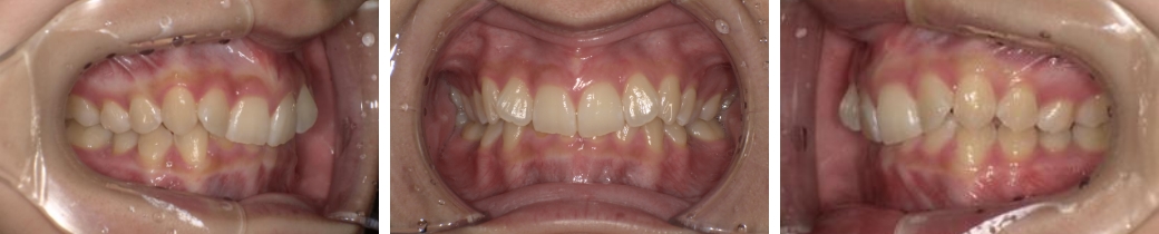
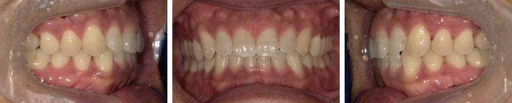
20代女性/八重歯・口元の前突感をマウスピース矯正で改善(全体矯正)
| 年代 | 20代 |
|---|---|
| 性別 | 女性 |
| 主訴 | 八重歯、口元の前突感 |
| 治療期間 | 1年4か月 |
| 使用装置 | マウスピース矯正(インビザライン) |
| 診断名 | 叢生を伴う歯性上顎前突症 |
| 治療方針 |
抜歯(上下左右第一小臼歯)による叢生の解消 前歯の後退によるE-lineの改善 全体矯正(上下マウスピース矯正) |
■ この症例のポイント
- 八重歯やE-line改善のために抜歯を選択
- マウスピース矯正が得意な歯の移動様式を活かし、抜歯症例でも短期間で治療完了
- 上下顎全体矯正で咬合バランスも同時に調整
- 精密な歯の移動コントロールで自然で美しい笑顔に
- 目立たず快適に治療期間を過ごせる
■ Before → After
八重歯や口元の前突感がなくなり、すっきりとした印象に。
笑った時の口元も美しくなり、患者さまに大変喜んでいただけました。
Before
After
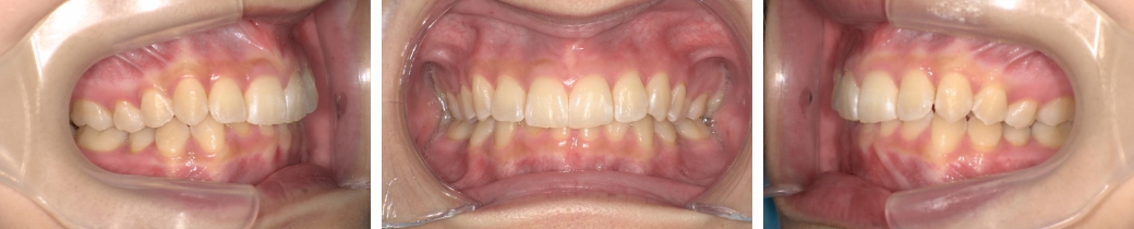
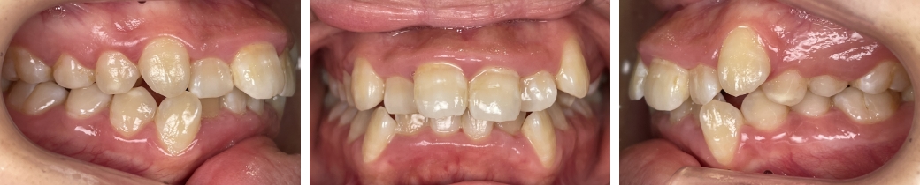
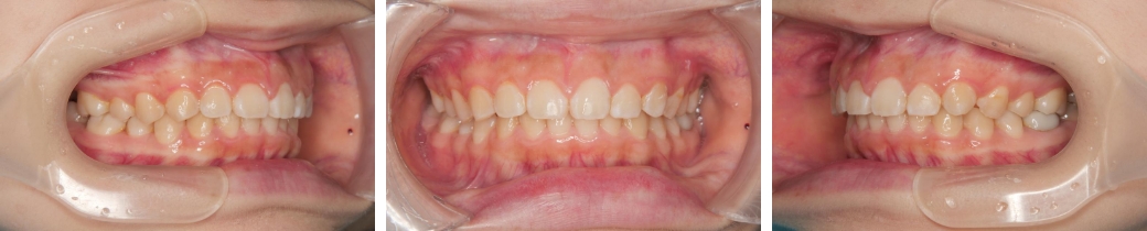
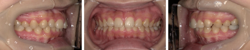
10代女性/前歯部のガタガタをマウスピース矯正で改善(全体矯正)
| 年代 | 10代 |
|---|---|
| 性別 | 女性 |
| 主訴 | 前歯部のガタガタ |
| 治療期間 | 10か月 |
| 使用装置 | マウスピース矯正(インビザライン) |
| 診断名 | 叢生 |
| 治療方針 |
非抜歯 歯列の拡大 IPR 全体矯正(上下マウスピース矯正) |
■ この症例のポイント
- e-line が元々良好だったため、口元を下げすぎない治療計画を立案
- 抜歯せずに整えるために、最小限の IPR + 歯列拡大を精密にコントロール
- 全体矯正により、前歯のガタガタ改善だけでなく咬合バランスも同時に調整
- 10代でアライナーの順守が良く、短期間で仕上がりが非常に良かった
- マウスピース矯正のため、見た目を気にせず快適に過ごせた点もメリット
■ Before → After
主訴である前歯のガタガタがしっかり改善し、きれいなアーチ形態に整いました。
マウスピース矯正により、目立たず快適に治療期間を過ごせたとのことです。
Before
After
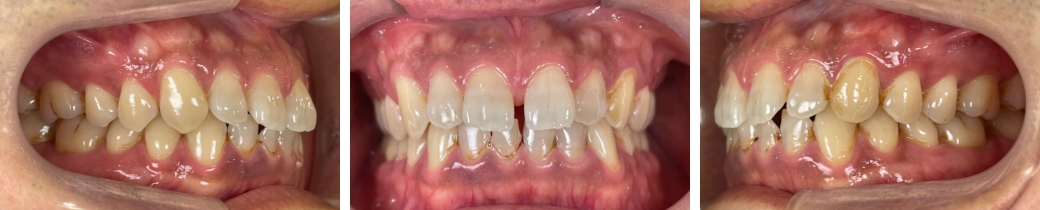
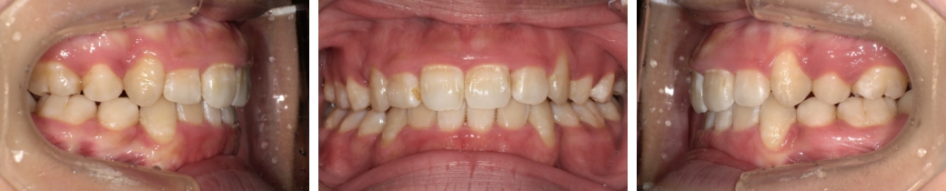
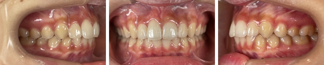
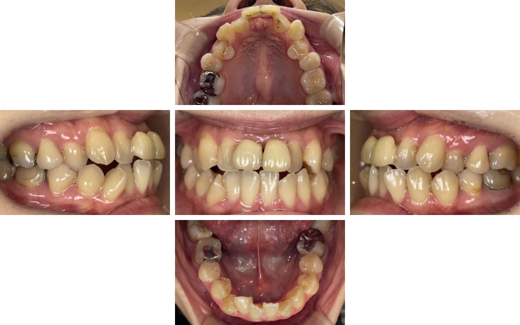
10代女性:前歯のねじれをマウスピース矯正で短期間に改善したケース
| 年代 | 10代 |
|---|---|
| 性別 | 女性 |
| 主訴 | 前歯のねじれ |
| 治療期間 | 6か月 |
| 使用装置 | マウスピース(インビザライン)上顎部分矯正 |
| 診断名 | 叢生(上顎前歯部) |
■ 治療前の状態
上顎前歯のねじれ(ローテーション)が目立つ状態でした。
見た目の印象が気になることに加え、部分的な歯列の不均衡によって笑顔の印象にも影響していました。
■ 診断と治療方針
前歯のねじれを改善するため、非抜歯で 上顎部分矯正 を行う方針としました。
必要スペースは 最小限のIPR により確保し、歯の健康を維持しながら効率的に移動できる設計です。
■ 今回の治療方針
- 上顎のみの部分矯正
- マウスピース(インビザライン)による段階的なねじれの改善
- 必要最小限のIPRで歯列スペースを確保
- 短期間(6か月)での自然な仕上げを重視
部分矯正は、全体的な噛み合わせに問題がないケースで非常に有効です。
今回の症例では条件に合致していたため、最短6か月での治療完了を目指しました。
■ 治療経過
インビザラインを使用し、段階的に前歯のねじれを解除。
必要最小限のIPRでスペースを確保しながら、歯の動きと歯軸を精密にコントロールしました。
治療中は透明マウスピースのため、学校生活にも支障なく治療を進めることができました。
■ 治療結果(Before → After)
前歯のねじれはきれいに整い、自然なアーチフォームを獲得。
笑顔の印象も大きく改善され、患者さまからも「前歯がきれいになって嬉しい」と喜んでいただけました。
短期間の部分矯正でありながら、歯軸・歯並びともに整った自然な仕上がりを実現できたケースです。
■ この症例のポイント
-
上顎のみの部分矯正で短期間(6か月)で改善
全体矯正が不要なケースでは、部分矯正で期間・費用を抑えながら自然な仕上がりが可能です。
-
マウスピース(インビザライン)で目立たず矯正
透明マウスピースで段階的に歯をコントロールし、学校生活にも支障がありません。
-
歯列矯正専門医による精密な歯軸コントロール
必要最小限のIPRで歯列スペースを確保しつつ、前歯のねじれを効率的に改善しました。
■ まとめ
今回の症例は、「前歯のねじれが気になる」「できるだけ短期間で改善したい」という患者さまに多く見られる相談内容でした。
上顎部分矯正とマウスピース矯正の組み合わせは、前歯のねじれや軽度の叢生の改善に非常に効果的です。
Before
After
20代女性:上顎前歯部のすきっ歯をワイヤー矯正で短期間に改善したケース
| 年代 | 20代 |
|---|---|
| 性別 | 女性 |
| 主訴 | 上顎前歯のすき間が気になる |
| 治療期間 | 4か月 |
| 使用装置 | ワイヤー矯正(上顎部分矯正) |
| 診断名 | 空隙歯列(上顎前歯部) |
■ 治療前の状態
上顎の前歯部に複数のすき間がみられ、いわゆる「すきっ歯(空隙歯列)」の状態でした。
見た目の審美性だけでなく、発音時に空気が漏れやすいことも気にされていました。
■ 診断と治療方針
空隙の量・歯軸の向きを分析した結果、非抜歯での空隙閉鎖が可能と判断しました。
■ 今回の治療方針
- 上顎のみの部分矯正
- ワイヤーによる空隙閉鎖
- 前歯の捻れ(回転)も同時に改善
- できるだけ短期間での仕上げを重視
部分矯正は、全体的な噛み合わせに問題がないケースで非常に有効です。
今回の症例では条件に合致していたため、最短4か月での治療完了を目指しました。
■ 治療経過
ワイヤーの調整により、前歯のすき間を徐々に閉鎖。すき間を閉じるだけでなく、歯の捻れ(ローテーション)も同時に整えることで、より自然で美しい前歯の並びになるよう仕上げました。
大きな後戻りを防ぐため、歯軸のコントロールに注意しながら調整を行っています。
■ 治療結果(Before → After)
主訴である前歯部のすき間はすべて閉鎖され、同時に前歯のねじれも解消されました。患者さまからは「笑った時の印象が大きく変わった」と大変喜んでいただけました。
短期間の部分矯正でありながら、自然なアーチと歯軸の整った仕上がりを実現できたケースです。
■ この症例のポイント
-
上顎のみの部分矯正で短期間(4か月)で改善
全体矯正が不要なケースでは、部分矯正で期間・費用を抑えて治療できます。
-
ワイヤー矯正は空隙閉鎖に非常に適した方法
すきっ歯の改善にはワイヤーでの制御が適し、効率的・確実にスペースを閉鎖できます。
-
歯列矯正専門医による精密な歯軸コントロール
すき間を閉じるだけでなく、歯の捻れや角度を適切に管理することで、仕上がりの審美性が大きく変わります。
■ まとめ
今回の症例は、「すきっ歯を短期間で直したい」という患者さまに多いご相談内容でした。
ワイヤーを使った部分矯正は、前歯のすき間、ほんの少しの歯並びの乱れなどのケースに特に効果的です。
Before
After
10代男性:上顎前歯部のすきっ歯を上下の部分矯正で改善したケース
| 年代 | 10代 |
|---|---|
| 性別 | 男性 |
| 主訴 | 上顎前歯部の隙間 |
| 治療期間 | 5か月 |
| 使用装置 | ワイヤー矯正(上下部分矯正) |
| 診断名 | 空隙歯列 |
■ 治療前の状態
上顎前歯の中央にすき間がある「空隙歯列」の状態で来院されました。
見た目の問題だけでなく、思春期ということもあり「人前で笑いづらい」というお悩みを持たれていました。
■ 診断と治療方針
上顎の隙間を閉じるためには、上顎だけ矯正すれば良いと思われがちですが、実際には下顎とのバランスも重要です。
今回は、
- 非抜歯で対応
- 上下とも部分矯正を行うことで、上顎前歯の移動を安定させる
- 下顎前歯部に最小限のIPR(歯と歯の間を少し削る処置)を実施
という方針で治療を進めました。
■ 治療経過
ワイヤーによるスペースコントロールを行いながら、上顎前歯の隙間を徐々に閉鎖しました。
同時に下顎前歯には必要最小限のIPRを行い、上下の噛み合わせと前歯の位置関係のバランスを調整しました。
上下の調和をとりながら進めることで、空隙が再度開くリスクを抑えた安定した仕上がりを目指しました。
治療は予定通り 5か月で完了。
■ 治療結果(Before → After)
気になっていた前歯の隙間はきれいに閉鎖され、同時に e-line(横顔のバランス)の印象もやや整いました。
過度な治療は行わず、必要な範囲だけ部分矯正を行うことで、自然な仕上がりとなりました。
■ この症例のポイント
-
上顎の隙間を閉じるために下顎を調整する必要があった特殊ケース
-
下顎のIPRは必要最小限にし、歯質保存を重視
-
上下部分矯正で 短期間(5か月)で改善
-
思春期の患者さまにも負担が少ない治療プラン
-
歯列矯正専門医による精密な咬合・歯軸コントロール
■ まとめ
今回のように、「上顎のすきっ歯が気になる」という場合でも、必ずしも上顎だけの矯正で完結するわけではありません。
上下のバランスを考慮しながら部分矯正を行うことで、安定した美しい仕上がりを実現できます。
Before
After
20代女性/前歯のガタガタを結婚式前にワイヤー矯正で改善(部分矯正)
| 年代 | 20代 |
|---|---|
| 性別 | 女性 |
| 主訴 | 前歯のガタガタを結婚式前に治したい |
| 治療期間 | 4か月 |
| 使用装置 | ワイヤー |
| 診断名 | 叢生 |
| 治療方針 | 非抜歯 IPR 上顎前歯のみの部分矯正 |
■ この症例のポイント
- 結婚式までの時間が限られていたため、短期間での仕上げを重視
- 通常は最小限に行うIPRを、平均的な量行うことで効率的にスペースを確保
- e-lineはもともと整っていたため、口元を変えすぎないよう現状維持で計画
- 前歯のみの部分矯正で、スピーディかつ的確にガタガタを改善
■ Before → After
e-lineはそのままに、前歯のガタガタやねじれがきれいに整いました。結婚式前でも対応できるスピード感のある治療となりました。
Before
After
30代男性/下顎前歯部のガタガタをマウスピース矯正で改善(上下部分矯正)
| 年代 | 30代 |
|---|---|
| 性別 | 男性 |
| 主訴 | 下顎前歯部のガタガタを治したい |
| 治療期間 | 8か月 |
| 使用装置 | マウスピース矯正 |
| 診断名 | 叢生 |
| 治療方針 | ・上下部分矯正 ・下顎右側側切歯の抜歯 |
■ この症例のポイント
- 本来は全体矯正が適応となる叢生量だったが、患者さまの強い希望により下顎右側側切歯を抜歯して部分矯正で対応
- 下顎前歯のガタガタを整えるため、上顎前歯の位置調整も必要となり上下部分矯正を選択
- マウスピース矯正のため、見た目を気にせず仕事と両立しやすい点がメリット
■ Before → After
前歯のガタガタはきれいに改善し、整ったアーチ形態となりました。
「歯ブラシがとてもやりやすくなった」とのお声をいただきました。
Before
After
40代男性/前歯のすきっ歯をマウスピース矯正で改善(上下部分矯正)
| 年代 | 40代 |
|---|---|
| 性別 | 男性 |
| 主訴 | 前歯の並び、すきっ歯が気になる |
| 治療期間 | 5か月 |
| 使用装置 | マウスピース矯正(インビザライン) |
| 診断名 | 空隙歯列 |
| 治療方針 | ・非抜歯 ・上下部分矯正 |
■ この症例のポイント
- すきっ歯を改善しつつ、e-line もわずかに整える治療計画
- 短期間(5か月)で整えるため、歯の移動量・矯正力を精密にコントロール
- 部分矯正のため生活への負担が少なく、仕事をしながら無理なく進められた
- マウスピース矯正のため、目立たず快適に矯正が行えた
■ Before → After
すきっ歯はきれいに閉鎖され、e-line も自然に整いました。
患者さまからは「こんなに早く終わるならもっと若いときにやればよかった」という嬉しい言葉をいただきました。
Before
After
20代男性/すきっ歯と前突感をマウスピース矯正で改善(全体矯正)
| 年代 | 20代 |
|---|---|
| 性別 | 男性 |
| 主訴 | すきっ歯、出っ歯が気になる |
| 治療期間 | 1年3か月 |
| 使用装置 | マウスピース矯正(インビザライン) |
| 診断名 | 上顎前突 |
| 治療方針 | ・上顎右側親知らず抜歯 ・上顎大臼歯の遠心移動 ・非抜歯(親知らずのみ抜歯)で前歯・口元の前突改善を目指す |
■ この症例のポイント
- 親知らずの抜歯だけで前突改善とすきっ歯の解消が可能と判断
- 上顎大臼歯の遠心移動により、前歯を過度に後方移動させずに口元を整えられた
- e-lineの改善を明確に意識した治療計画
- マウスピース矯正のため、見た目を気にせず日常生活と両立
- 出っ歯+すきっ歯を同時に改善できたバランスの良いケース
■ Before → After
主訴であるすきっ歯は閉鎖され、前歯および口元の前突感も自然に改善しました。
親知らずの抜歯+遠心移動により、横顔のバランス(e-line)が大きく整い、患者さまにも大変満足いただけたケースです。
Before
After
30代女性/前歯のガタガタをマウスピース型矯正装置で改善(全体矯正・非抜歯)
| 年代 | 30代 |
|---|---|
| 性別 | 女性 |
| 主訴 | 前歯のガタガタを治したい。 何件かで抜歯が必要と言われたが抜歯は嫌です。 |
| 治療期間 | 2年2ヶ月 |
| 使用装置 | マウスピース型矯正装置 |
| 診断名 | 叢生 |
| 治療方針 | ・非抜歯 ・上下顎に遠心移動を適応 ・叢生の解消 |
■ この症例のポイント
- 複数の歯科医院で抜歯を提案されていたが、非抜歯を強く希望
- 抜歯プラン自体は現実的であったが、時間をかければ非抜歯も可能と判断
- 上下顎の遠心移動を多用し、無理なく叢生を改善
- 治療期間は長くなったが、口元のバランスを保ちながら理想的な歯並びを獲得
■ Before → After
抜歯を行うことなく、前歯のガタガタはきれいに改善しました。
患者さまからは「抜歯せずに理想の歯並びになって本当にうれしい」と喜びの声をいただきました。
■ リスク・副作用
矯正治療では以下のリスクや副作用が考えられます。
- 歯根吸収(歯の根が短くなる症状)
- 歯肉退縮(歯茎が下がる症状)
- アンキローシス(歯と骨が癒着し歯が動かなくなる状態)
- 歯髄壊死(歯の神経が失活する状態)
- 顎関節症(顎の痛み・違和感)
Before
After
20代女性/ガタガタ・出っ歯をワイヤー矯正で改善(全体矯正)
| 年代 | 20代 |
|---|---|
| 性別 | 女性 |
| 主訴 | ガタガタ、出っ歯 |
| 治療期間 | 2年1か月 |
| 使用装置 | ワイヤー |
| 診断名 | 叢生を伴う上顎前突症 |
| 治療方針 | 抜歯(上下左右第一小臼歯) |
■ この症例のポイント
- 抜歯スペースを有効活用し、前歯部のガタガタを改善
- 前歯を後方移動させることで口元の突出感を軽減
- e-lineの改善を重視した治療計画
- ワイヤー矯正により精密な歯の移動コントロールを実現
■ Before → After
前歯はきれいに整い、口元の前突感も改善しました。
e-lineがすっきりし、横顔の印象も美しく整いました。
■ リスク・副作用
矯正治療では以下のリスクや副作用が考えられます。
- 歯根吸収(歯の根が短くなる症状)
- 歯肉退縮(歯茎が下がる症状)
- アンキローシス(歯と骨が癒着し歯が動かなくなる状態)
- 歯髄壊死(歯の神経が失活する状態)
- 顎関節症(顎の痛み・違和感)
Before
After